Modernizace přístrojů v Hematologické laboratoři

Modernizace přístrojů v Hematologické laboratoři

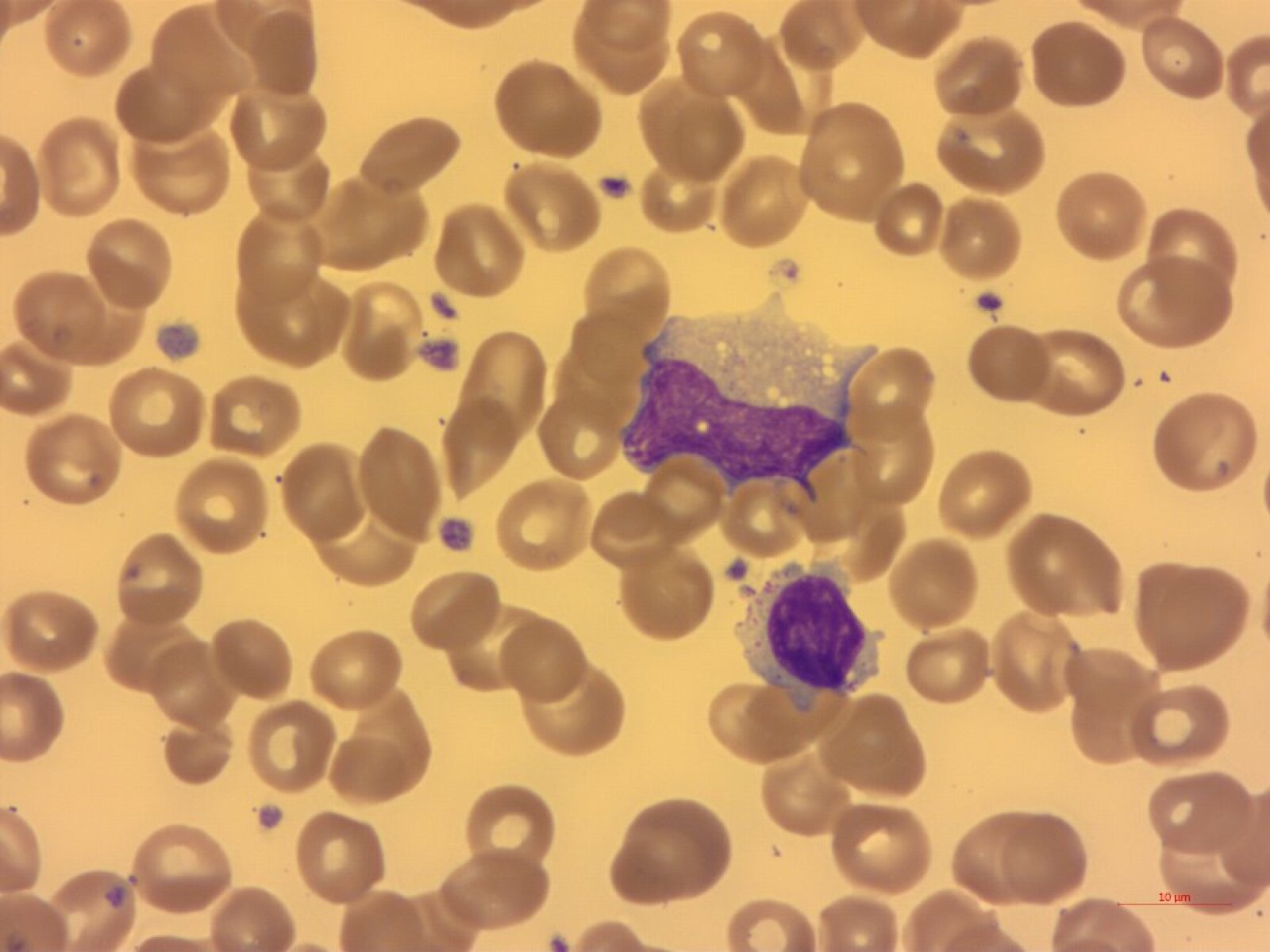
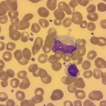
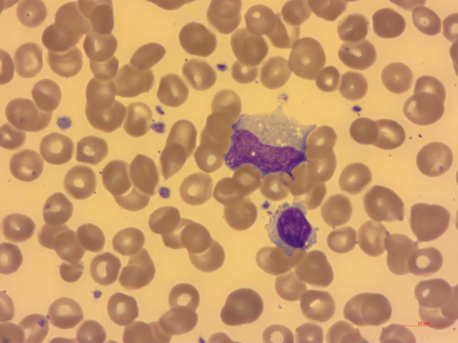
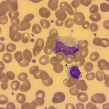
Hematologická laboratoř je od února 2019 nově vybavena automatickým systémem pro barvení krevních nátěrů Hematek a mikroskopem Axio s připojením kamery a možností zálohování nálezů. Tyto přístroje jsou využívány k upřesnění diagnostiky zejména u pacientů po transplantaci solidních orgánů a u pacientů v septickém stavu. 

Loading...

PRO AKUTNÍ STAVY VOLEJTE:

+420 603 144 124 Transplantační koordinátorky
+420 734 765 848
Kooordinátoři mechanické srdeční podpory
+420 543 182 491 V pracovní dobu
+420 543 182 525 Mimo pracovní dobu